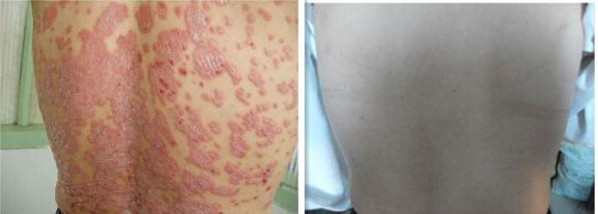
2033新看点-中山银血病医院哪家最好-患者可放心选择|银血病对怀孕有什么影响?银血病是一种多发于女性的疾病。首先,患者身体的皮肤上会出现一些红色的斑块,这些斑块上会有一些白色的鳞屑,久而久之就会形成脱屑。,皮屑下会有一些红色的出血点,需要引起重视。那么,银血病对怀孕有什么影响。让我们广州治疗银屑病医院为你解答:

1、寻常型银屑病对怀孕影响不大。一般情况下,患者的病情会在怀孕期间得到缓解或消退。这可能是由于孕妇体内激素水平的变化引起的。因此,寻常型银血病患者并不会妨碍怀孕和生育,患者也无需过于担心,但银血病是一种遗传性疾病,很有可能会遗传给孩子,如果患者病情比较严重,或者正在接受药物治疗期间,不适合怀孕,以免对孩子造成不良影响,还是等到病情稳定或好转后再准备怀孕比较稳妥。
2、银血病患者只要在早期及时、正确地进行治疗,就可以取得良好的效果,不会对患者的身体和以后的生育造成任何不良影响。但是,如果患者的病情比较严重的话,不仅会造成外表的损伤,还会影响到患者的内心生活,可能会诱发很多并发症,所以对于这种病我们一定要慎重对待,一定要避免病情加重,增加患者的痛苦。期间也要注意好好休息。患者每天应有充足的睡眠时间,避免熬夜,保持心情舒畅。
2033新看点-中山银血病医院哪家最好-患者可放心选择|银血病对怀孕有什么影响?一般银血病患者可以采用中药浴、中药蒸汽、熏蒸治疗或光动力治疗等进行治疗,都会起到调节患者病情的作用。在此期间,也要配合自己的饮食,保证清淡有营养的饮食,对患者病情的恢复也有很大的帮助,切不可错过治疗的时机。http://www.qijianshop.cn



