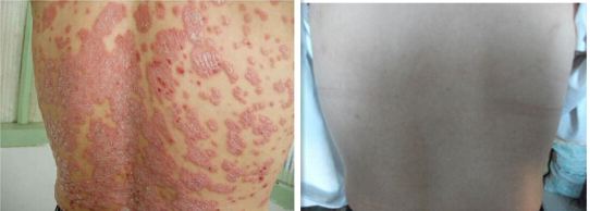
热度极大!深圳牛皮癣医院那里最好(牛皮癣症状)深圳哪家能治牛皮癣?牛皮癣在日常生活中是属于一种高发的皮肤疾病,会对患者的身心带来很大的影响,而且还要承受别人异样的眼光,所以牛皮癣给患者带来的影响是巨大的,并且会有并发症的产生。患上牛皮癣这个疾病患者们会遇见什么样的病发症状呢?让我们广州治疗牛皮癣医院为你解答:

低蛋白血症或贫血:由于牛皮癣大量脱屑构成皮肤的蛋白质、维生素及叶酸等物质随之丢失。若皮损迁延多年不好且泛发全身会导致低蛋白血症或营养不良性贫血。临床表现为乏力、倦怠面色苍白,易于感冒等症状。如果由于不正确的忌口而营养摄入不足更会使上述症状加重。
肝、肾等系统损害:有的寻常型牛皮癣患者会突然发生高热关节肿痛、全身不适及白细胞增高,皮肤上迅速出现粟粒大小密集的小脓疱。脓疱连成大片,干涸后于皮下再发新的脓疱反反复复持续数月不消退。这就是泛发性脓疱型牛皮癣。特别是当患者大量使用激素药物以后,会严重的伤害身体的内脏组织。此病常常并发肝肾等系统损害,亦可因继发感染、电解质紊乱或衰竭而危及生命。
关节损害:关节型牛皮癣除有牛皮癣损害外还发生类风湿性关节炎症状。临床表现有关节肿大疼痛,活动受限晨僵,甚至关节积液或变形。长久以后关节可以强直。X线检查呈类风湿性关节炎改变,但类风湿因子检查阴性有的患者血沉可以增快,并可伴有发热等全身症状。关节病型牛皮癣病程慢性往往经年累月而不易治疗。
全身损害及继发感染:红皮病型牛皮癣少见而严重表现为周身皮肤弥漫性潮红或暗红,肿胀或伴有渗出,表面覆有大量麸皮样鳞屑患者伴有头痛、发热、畏寒等全身不适浅表淋巴结肿大,白细胞计数增高。若没有及时正确处理极易造成死亡。红皮型牛皮癣会引起患者全身的免疫系统紊乱并会使得发生激发性的感染,由于皮损面积大,细菌易于侵入会导致败血症而死亡;由于血液粘稠度增高、血容量不足等,导致心力衰竭而死亡;亦可由于肝肾功能衰竭而导致死亡。
热度极大!深圳牛皮癣医院那里最好(牛皮癣症状)深圳哪家能治牛皮癣?患上牛皮癣这个疾病患者们会遇见什么样的病发症状呢?以上就是关于牛皮癣并发症的介绍,希望对大家能有所帮助。牛皮癣是一种非常顽固,并且会有多种并发症产生的疾病,所以大家一定要预防此病的发生,一旦发生必须要去正规医院进行治疗。http://www.qijianshop.cn



