{公开发布}佛山看牛皮癣专业医院-佛山牛皮癣治疗费用【前十排名】佛山牛皮癣专科医院地址?很多人在发现自身患上牛皮癣的时候,并没有注意到自己的日常饮食,这样也不利于疾病的康復,导致疾病的加重,那么,让我们广州治疗牛皮癣医院为你解答:

饮食的健康也很关键,如果长期不注意饮食,不注意饮食的健康,就会影响疾病的康復效果,那么,对于牛皮癣患者来说是一个非常重要的环节,那么。
在饮食的过程中,我们要尽量避免吃一些辛辣刺激性的食物,比如说,葱姜蒜,韭菜等,以免导致病情恶化,而且这些食物还容易导致病情的反复发作,对于皮肤的康復也是很不利的。
牛皮癣患者在治疗的过程之中,一 定要保持一个良好的心情,不要出现紧张、激动的情绪,这样对于疾病的治疗也是很不利的。还有就是在饮食上要注意避免食用一些对治疗牛皮癣有影响的食物,这些食物对于身体都会造成一 定的损伤,所以我们在饮食中要避免食用一些不利于治疗牛皮癣的食物。
在生活中,如果患有牛皮癣的患者,一 定要注意避免饮用一些刺激性的饮料,比如说:酒,浓茶,咖啡等,这些会使牛皮癣的患者病情加重,还有就是在治疗的过程中,我们要保持一个良好的心态,不要出现消极、紧张、抑郁的情绪,这样对于疾病的康復都是很有利的。
牛皮癣患者要想疾病治疗的有好的效果,那么在饮食的过程中,要注意一些禁忌,避免因为饮食不当造成疾病的加重。
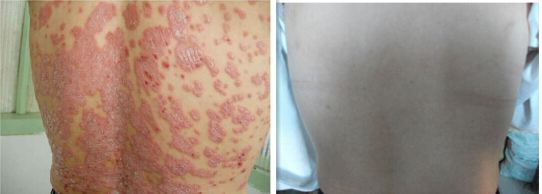
牛皮癣这个疾病大家也并不陌生,这是一种常见的皮肤病,牛皮癣疾病的出现严重的影响到了患者的美观以及身心健康的,在生活当中我们应该及时的进行缓解治疗,避免给自己造成很大的伤害,那么牛皮癣疾病的出现患者们应该如何进行治疗呢?
牛皮癣患者要注意调整心态,保持乐观、开朗的心情。在日常的生活当中,一些患有牛皮癣疾病的患者,心理压力是很大的,所以一 定要保持乐观的情绪,不要过于的担惊受怕。只要能够在这个时候调整好自己的心态,就可以在一 定程度上缓解牛皮癣疾病,不会给患者造成很大的痛苦。
治疗要科学,患者要选择科学规范、正确的治疗方法。牛皮癣疾病的发生,给患者的生活带来很多的影响,这种疾病虽然比较难以治疗,但只要及时的采用正确的治疗方法,就能够帮助大家尽快擺脫疾病的困扰。
{公开发布}佛山看牛皮癣专业医院-佛山牛皮癣治疗费用【前十排名】佛山牛皮癣专科医院地址?牛皮癣疾病虽然说给患者造成很大的危害,但是患者在生活当中也应该引起重视,积极的治疗才行,这样才能够避免疾病的恶化。患有此病的患者要做好日常的预防保健工作,避免疾病的反复发作,给自己造成更大的伤害。http://www.qijianshop.cn



